Медицина Красота Диагностика Акции
Газарян Лилианна Григорьевна - Врач косметолог
Главная
Газарян Лилианна Григорьевна

Газарян Лилианна Григорьевна

Врач косметолог

стаж 20 лет

Коррекция возрастных изменений лица и тела при помощи аппаратных, нитевых и инъекционных технологий и их сочетания, составление комплексных anti-age программ, совершенствование внешности и естественного омоложения собственными фибробластами (PRP-терапия), моделирование овала лица методом 3D и комбинирование инъекционных технологий для достижений самого научного и долгосрочного омоложения, разработка уникальных методик нитевого лифтинга и «офисной липосакции» для достижения результата. второго подбородка, эффективное лечение угревой сыпи и различных дефектов кожи, удаление новообразований, устранение локальных жировых отложений, интимный филинг.

Большой опыт лечения выпадения волос циклического генеза, а также патологий: сосудистые и пигментные образования, фотостарение, акне, розацеа, стрии, рубцы (в т. ч. постакне рубцы).

Владеет всеми современными косметологическими техниками и методиками:

  • Инъекционная контурная пластика и объемное моделирование.
  • Аппаратная косметология.
  • Лазерные технологии (деструкция СО2 кожных образований, шлифовки, фракционный фототермолиз (Deka CO2, Candela GentleMaxPro).
  • Лазерная, фото и ЭЛОС эпиляция.
  • Безоперационная подтяжка кожи лица и тела (SMAS-лифтинг).
  • Нитевой лифтинг (APTOS, SILHOUETTE LIFT SOFT, DERMAFIL HAPPY LIFT, МЕЗОНИТИ).
  • РRP-терапия (плазмолифтинг) и технология ReginLab - плазмотерапия с факторами роста.
  • Электрокоагуляция.
  • Радиоволновая вапоризация (Сургитрон, Фотек).
  • Фотокоагуляция.
  • Фототерапия (IPL M22).
  • Ботулинотерапия (в т.ч. лечение гипергидроза).
  • Мезотерапия.
  • Биоревитализация.
  • Пилинги.
  • Липолитическая коррекция локальных жировых отложений на лице и теле с помощью мезодиссолюции и мезотерапии АКВАЛИКС.
  • Трихоскопия.
1993-2000
Факультет "Лечебное дело ", Ташкентский Государственный Медицинский Институт.
2004-2006
Ординатура по специальности " Дерматовенерология ", Российская Медицинская Академия Последипломного Образования.
2006
Повышение квалификации по специальности " Косметология терапевтическая и хирургическая ", Российский Университет Дружбы Народов.
2006
Повышение квалификации по специальности " Физиотерапия в косметологии ", Российский Университет Дружбы Народов.
Дополнительное образование, курсы, тренинги
2005
" МАРТИНЕКС " " Стабилизированные химические пилинги поверхностного и срединного воздействия ".
2005
"ЗДОРОВЬЕ СЕМЬИ " " Применение препарата БОТОКС ".
2005
" ВАЛЕКС " " Применение препарата ДИСПОРТ ".
2005
" МАРТИНЕС ИМЕДЖ" " Мезотерапия в общей и эстетической медицине ".
2006
" ВАЛЕКС " " Практический курс-тренинг по контурной пластике ".
2006
" СИНЕРОН " " Курс-тренинг по методике ЭЛОС -технологии в эстетической медицине ".
2007
" ФИЛОРГА " " Применение препаратов EMBRIOBLAST, NCTF, AcHyal".
2008
" ДЕКА " " Курс- тренинг по лазерным технологиям SmartXide DOT CO2,Smartlipo, GentleMaxPro ( CANDELA).
2010
" МЕРЦ-ФАРМА " Применение препарата КСЕОМИН ".
2011
" МЕРЦ-ФАРМА " Применение препарата РАДИЕСС ".
2011
" ИнМедТех" " Практический курс-тренинг по волюмизирующим методикам и возможности применения канюли ".
2012
" ЛАФАТЕР " " Обучающий курс- тренинг по плазмолифтингу ".
2012
" СпортМедИмпорт" " Практический курс-тренинг по "жидким шовным нитям ELLANSE".
2012
" Бьюти-Эксперт " " Курс-тренинг по "3D моделирование лица и тела мезонитями".
2012
" Аптос " " Курс-тренинг по малоинвазивным (косметологическим) методам APTOS LIGHT LIFT".
2013
" НикиМед" " Курс-тренинг по методике подтяжки лица,шеи,декольте нитями SILHOUETTE LIFT SOFT".
2014
" МезоЭксперт" " Курс-тренинг по омоложению орбитальной зоны препаратом TEOSYAL PureSense Redensity II".
2016
" МезоЭксперт" " Курс-тренинг по по методике подтяжки лица, шеи, декольте нитями DERMAFIL HAPPY LIFT".
2016
" Корпорация ЭстМедицины" " Курс-тренинг по методике "АУТОЛОГИЧНОЕ КЛЕТОЧНОЕ ОМОЛОЖЕНИЕ ( ReginLab ) ".
2017
" НикиМед" " Курс-тренинг по "Интимной контурной пластике ( Reneall Secret life, Reneall ProActive,ReviPerform)".
2020
Школа профессора Юцковской "Восемь топовых техник для создания идеальных губ"
2021
"Full-Face ботулинотерапия препаратом Релатокс"
  • 2008-2019 гг.- ООО «Клиника Красоты и эпиляции», Врач дерматолог, трихолог, косметолог
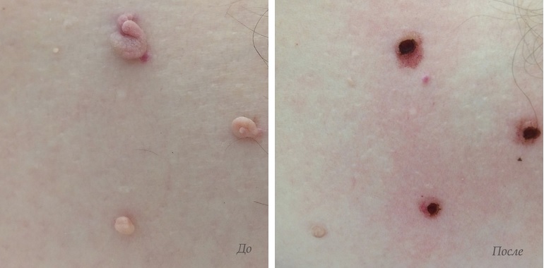
Фото до и после
Газарян Лилианна Григорьевна
Газарян Лилианна Григорьевна — Медкрас
+7 495 150-23-23
Врач косметолог
Москва, Россия
6‑й Монетчиковский переулок, д. 19
115054
RU
Лилианна Григорьевна отличный косметолог. Хочу сказать ей спасибо за свои новые и красивые губки. Все точно так, как на картинке и так, как мне хотелось. Очень довольна и обязательно приду еще.
Газарян Лилианна Григорьевна
Газарян Лилианна Григорьевна — Медкрас
+7 495 150-23-23
Врач косметолог
Москва, Россия
6‑й Монетчиковский переулок, д. 19
115054
RU
Сегодня была на приёме, остались только хорошие впечатления - в центре чистота и современное оборудование. Врач Газарян Л.Г. хороший профессионал и деликатный человек, быстро и квалифицированно решила мой вопрос. Никакого навязывания дополнительных процедур и услуг, что приятно удивило. Рекомендую это место и этого доктора.
Газарян Лилианна Григорьевна
Газарян Лилианна Григорьевна — Медкрас
+7 495 150-23-23
Врач косметолог
Москва, Россия
6‑й Монетчиковский переулок, д. 19
115054
RU
Лилианна Григорьевна Газарян просто супер косметолог. Она не только видит природную красоту, но и умеет ее подчеркнуть. Может помочь в любой ситуации. Например, в моем случае она смогла исправить губы и скулы. Сделала красивую контурную пластику. И все очень мягко и аккуратно. И что важно почти безболезненно и без синяков. Я после процедуры пару дней готова была жить возле зеркала, так все классно получилось.
Газарян Лилианна Григорьевна
Газарян Лилианна Григорьевна — Медкрас
+7 495 150-23-23
Врач косметолог
Москва, Россия
6‑й Монетчиковский переулок, д. 19
115054
RU
Добрый день. Я постоянная клиентка Лилианны. Она -большой профессионал и очень душевный человек. Всегда проконсультирует, порекомендует правильные процедуры, без навязывания услуг. Очень рекомендую.
Газарян Лилианна Григорьевна
Газарян Лилианна Григорьевна — Медкрас
+7 495 150-23-23
Врач косметолог
Москва, Россия
6‑й Монетчиковский переулок, д. 19
115054
RU
Прекрасный врач с внимательным и заботливым подходам к своим клиентам! Лучший специалист, которого я встречала!
Подруги подарили мне на день рождение процедуру RF лифтинга. Записалась к доктору Фатиме. Очень приятный врач. Я процедуру делала в первый раз и боялась. Но Фатима все подробно объяснила, успокоила мои страхи. Действительно все прошло безболезненно и даже приятно. Хочу на курс, результат уже поражает, хорошая клиника и врачи.
Я всегда была худой и не знала, что такое диета, но после беременности не могла вернуться в свой комфортный вес, диеты и физическая нагрузка не помогали. Мне посоветовали проверить щитовидку. Я рада, что обратилась в клинику «Медицина и Красота». Я сразу почувствовала высокий уровень предоставления услуг, т.к. Я сдавала анализы, делала УЗИ, была на приеме у врача и получила качественное лечение. Рада, что нашла эту клинику.
В целом все хорошо врачи хорошие, но цены конечно ужас.
Соотношение цены и качества оказываемых услуг на высоте. Огромное спасибо!
Очень внимательный и аккуратный доктор. Пришла по совету подруги и не пожалела, очень приятный человек, и мастер своего дела.
Отличные работы

Все супер! 5+

Обязательно вернусь к Вам.

Очень хорошая клиника, всем довольна, замечаний нет!
Прекрасное обслуживание очень внимательные, опытные.
Для нас очень важно мнение каждого!
С каждым отзывом мы становимся лучше, когда мы понимаем, что нужно усовершенствовать!
Уважаемые пациенты!
Администрация клиники принимает все меры по своевременному обновлению цен, размещенных на сайте.
Просим вас уточнять стоимость услуг в регистратуре клиники или по телефону +7 495 150-23-23
Размещенный прейскурант не является офертой. Медицинские услуги оказываются на основании договора.
Записаться на приём

Наши доктора проводят диагностику и лечение различных заболеваний с использованием современных технологий.

Записаться на прием
Записаться на прием
Время приема
Подтвердите запись
Мы отправили вам бесплатное смс с кодом. Для подтверждения записи введите код.
Заказать звонок
Оставить отзыв