CO2RE – это фракционный лазер, эффективно воздействующий поверхностный, средний и глубокий слои кожи, выполняет традиционную коррекцию различных дефектов и CO2 шлифовку кожи при помощи лазерных лучей. Аппарат CO2RE позволяет работать с точным контролем интенсивности, шаблона и глубины абляции.
Интимное омоложение с CO2RE Intima
Темой интимного омоложения с каждым годом интересуется все большее число женщин. Повышенный интерес обусловлен не только желанием избавиться от последствий физиологического старения половых органов.
Показания к процедуре лазерного омоложения влагалища:
- сухость во влагалище;
- возрастная пигментация половых губ;
- атрофия, а иногда и дисхромия (изменение окраски кожи);
- потеря вагинального тонуса;
- зуд и жжение в интимной зоне;
- болезненный половой акт.
Некоторые из выше перечисленных проблем с успехом можно решить, прибегнув к хирургическому вмешательству, однако многие женщины не склонны идти на такие радикальные меры по многим причинам.
С целью создания новых эффективных нехирургических способов вагинального лечения инженеры компаний-лидеров среди лазерного оборудования Syneron и CANDELA разработали многофункциональный лазер CO2RE Intima.

Экспериментально доказано, что CO2 лазеры способны реконструировать ткань с формированием коллагеновых и эластиновых волокон, улучшая тон кожи, ее текстуру и внешний вид. Одноразовые насадки для выполнения манипуляций гарантируют женщинам гигиену и комфорт лечения в интимной зоне.
Лазерное омоложение влагалища – это безопасная, быстрая, но очень результативная процедура, проводимая в амбулаторных условиях. Интимная коррекция не требует дополнительной анестезии и занимает обычно около 15 минут. Проводит манипуляцию врач-гинеколог, пластический хирург или специалист лазерной терапии. Восстановительный период после операции короткий и к обычной жизни пациентки возвращаются уже в день операции, от сексуальной активности лучше воздержаться в течение недели.
Периодичность проведения лазерного омоложения – один раз в 3 недели. Для сохранения и поддержания результатов пациенткам рекомендовано ежегодно повторять поддерживающую процедуру.
Фракционный лазер CO2RE Intima поражает и восхищает результатами:
- Восстановлены тонус и упругость влагалища.
- Сексуальная жизнь снова приносит удовольствие за счет возвращения чувствительности.
- После родов восстановлены размеры и вид половых органов.
- Активизирована выработка коллагена, слизистая влагалища хорошо увлажнена.
- Больше не беспокоит ощущение сухости и дискомфорта.
- Устранены признаки возрастной пигментации.
Применение CO2RE в косметологии
Системы CO2 часто используются не только для нехирургического интимного омоложения, но также успешно зарекомендовали себя в косметологии. Современные лазерные технологии с успехом помогают избавиться от многих эстетических проблем и заболеваний кожи.

Разработанный по новейшим стандартам лазер CO2 RE позволяет одновременно воздействовать на глубокие и поверхностные слои эпидермиса, автоматически контролируя интенсивность и глубину проработки участков. Фракционный луч с длиной волны 10600 nm, подаваемый при помощи шарнирного кронштейна, проникает на необходимую глубину с заданной энергией, которая контролируется двухмерным сканером.
Режимы работы
- В системе CO2 RE предусмотрены режимы фракционного абляционного воздействия:
CO2 RE Light – обработка верхнего слоя эпидермиса. Стимулируется разрастание клеток, а плотность подкожного коллагена повышается;
CO2 RE Mid – более глубокая проработка тканей. Фракционный луч обеспечивает коагуляцию (свертывание) тканей между дермой и эпидермисом;
CO2 RE Deep – глубокая фракционная абляция, соответственно, коагуляция тканей происходит в глубоких слоях;
CO2 RE Fusion – уникальное сочетание глубины воздействия и интенсивности тепловой деструкции. Достигается оптимизация одновременного воздействия на несколько слоев кожи.
- Режим фотоомоложения.
- Режим хирургического воздействия.
- Больше не нужна смена наконечников или линз для перехода в другой режим работы. Уникальная система сканирования и режим Fusion гарантируют автоматическую настройку поверхностно-глубокой абляции за один сеанс.
Применение фракционного лазера CO2RE в клинике "Медицина и Красота":
- Фракционное лазерное омоложение
- Лазерное удаление кожных новообразований
- Лазерное удаление пигментных пятен и веснушек
- Лазерное удаление рубцов, шрамов, растяжек
Спектр косметологических процедур CO2 RE лазера:
- обработки всех слоев кожи фракционным лазером;
- классическое омоложение;
- подтяжка кожи;
- удаление бородавок, папиллом, пигментации, шрамов, стрий, рубцов;
- круговая подтяжка кожи лица;
- омоложение кожи рук;
- облегченная альтернатива пилингу;
- уменьшение видимости растяжек на груди, животе и на бедрах.
Показания к лазерному омоложению CO2Re
- фракционное лазерное омоложение кожи;
- возрастные изменения, фотостарение;
- дряблость кожи лица, шеи, декольте;
- пигментация;
- шрамы, рубцы, растяжки;
- удаление новообразований лазером;
- все типы морщин;
- ярко выраженная неравномерность цвета кожи.
Результаты фракционного лазерного омоложения CO2RE
- Равномерный цвет кожи, заметное омоложение.
- Разглаживание морщин и складок, сокращение пор на лице.
- Запущена выработка нового подкожного коллагена.
- Удаление веснушек и пигментных пятен.
- Эффективная коррекция рубцов, постакне, атрофических, хирургических и ожоговых шрамов.
- Устранение любых растяжек.

Преимущества фракционного лазера CO2RE
- Гарантированный эффект омоложения и разглаживания кожи.
- Подходит для любого типа кожи и разного возраста.
- Результат заметен уже после первой процедуры абляционного лазерного омоложения.
- Автоматический контроль интенсивности и глубины воздействия лазера.
- Многоуровневое воздействие, позволяющее точечно проникать в глубинные слои, восстанавливая и омолаживая кожу.
- Аппарат прост в эксплуатации.
- Легкий и короткий период реабилитации.
Технические особенности лазера CO2RE
Главное отличие CO2RE (Candela) от подобных лазеров – это максимально короткий импульс. Чем он короче, тем ткани менее перегреваются и тем выше эффективность операции. Клиническая реабилитация после процедуры интимного омоложения составляет от 7 до 14 дней. Этого времени достаточно для того, чтобы сошла отечность и корки. Если была произведена глубокая шлифовка, то незначительное безболезненное покраснение может сохраниться до 30 дней. Важно то, что процедуры на аппарате CO2RE Intima пациенты переносят значительно легче, чем при использовании абляционных лазеров другой формации.Благодаря наличию цифрового источника импульсов лазерных лучей (DPLG) гарантировано образование одиночных импульсов, у которых разная энергия и продолжительность термального влияния на кожу. Глубина воздействия и время стремительно меняются без перерывов на переключение.
Встроенный цифровой сканер быстрого действия оснащен системой слежения (DSIS), он гибкий и надежный.
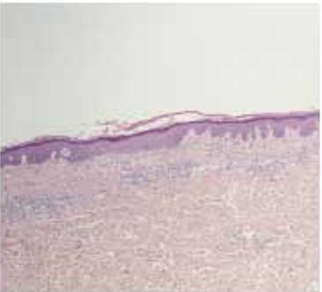
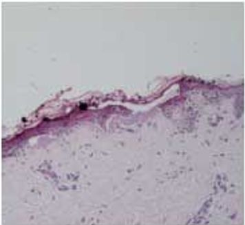
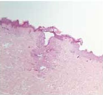
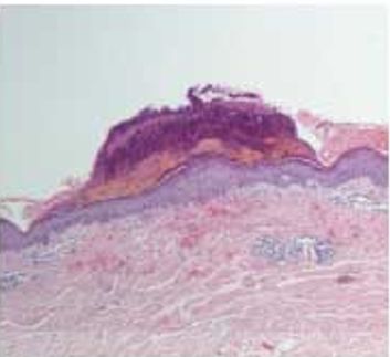
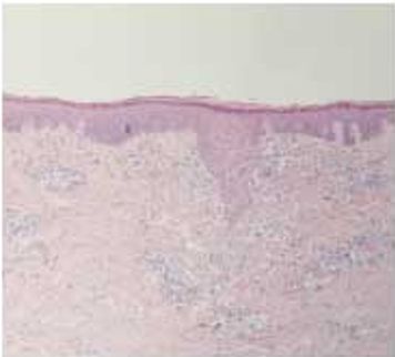
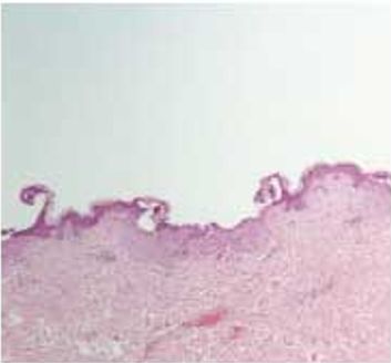
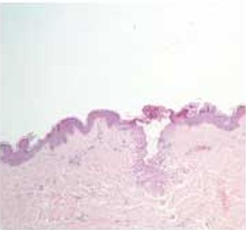
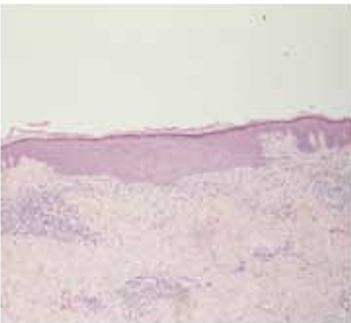
| Режимы | CO2RE Light | CO2RE Mid | CO2RE Deep | CO2RE Fusion |
|---|---|---|---|---|
| Описание | Воздействию лучей подвергается верхний слой эпидермиса. Стимулируется разрастание клеток, а плотность подкожного коллагена повышается. | Более глубокая проработка тканей. Фракционный луч обеспечивает коагуляцию или свертывание тканей между дермой и эпидермисом. | Глубокая фракционная абляция, соответственно, коагуляция тканей происходит в глубоких слоях. | Уникальное сочетание глубины воздействия и интенсивности тепловой деструкции. Достигается оптимизация одновременного воздействия на несколько слоёв кожи. |
| Потери |
|
|
|
|
| Гистология |
|
|
|
|
Технические характеристики CO2RE
| Типа лазера | С0 |
| Длина волны | 10600 нм |
| Режим работы | Импульсный |
| Выходная мощность | 60 ВТ |
| Энергия импульса | Изменяемая от 1 до 257 мДж |
| Частота повторения | До 16,7 кГц |
| Длительность импульса | 20 - 3000 мкс |
| Стабильность мощности | ± 1,5 Вт (± 5%) |
| Режик качества (М²) | < 1,2 |
| Диаметр луча | 1,8 ± 0.5 мм |
| Расхождение луча | 7.5 ± 0.5 мрад (полный угол) |
| Поляризация | > 100 : 1 линейно (ортогонально к монтажным площадкам) |
| Максимальная площадь сканирования | Круг диаметром 10 мм |
| Наводящий лазер | 5 мВт, 650 нм (красный) диодный лазер |
| Шарнирный кронштейн | Пневматически сбалансированная легковесная алюминиевая конструкция с 7 шарнирами. Радиус действия при полном выдвижении 85 см. Вращение по горизонтали 360° |
| Оптические насадки | 150 мкм диаметр пятна 120 мкм диаметр пятна (опция) |
| Рукоятка | Многоразовая или хирургическая |
| Интерфейс пользователя | 10.4" цветной сенсорный ЖК-дисплей высокого разрешения. |
| Управление импульсом | Ножная педаль. |
| Индикаторы лазерного излучения | В режиме ожидания и в режиме max готовности: непрерывный желтый светодиод. Во время лазерного излучения мигающий красный светодиод. |
| Электросеть | 100 - 240 VAC (автоматическое определение), 50-60 Гц, 7.1 А, однофазный. |
| Размеры | 40 см x 44 см x 177 см |
| Вес | 26 кг |
Наши доктора проводят диагностику и лечение различных заболеваний с использованием современных технологий.